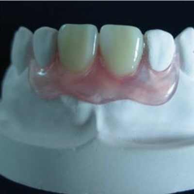
Einhliða Nesbit Valplast gervitennur, einnig þekkt sem Nesbit flipper eða Nesbit gervitennur, er tegund af færanlegum hluta gervitennu sem notuð er til að skipta um eina eða fleiri tennur sem vantar, sérstaklega framan á munninum. Nesbit sveigjanleg gervitennur passar aðeins á annarri hlið munnsins.
|
Nafn |
Nesbit hluta gervitennur |
|
Tönn valkostir |
Yamahachi / Ivoclar / Densply |
|
Tönn staða |
Fyrir 1-3 tennur sem vantar |
|
Efni |
Nylon plastefni með mikla áhrif |
|
Borða og drekka |
Borða og drekka næstum hvað sem er |
|
Hannað til að endast |
Allt að 5 ár |
|
Valplast Nesbit gervitennur |
Akrýl flipper |
|
Sveigjanlegt og mjúkt |
Stíf og erfitt |
|
Málmlaus |
Hafa málmfestingu |
|
Hannað til langs tíma notkunar |
Hannað til skamms tíma notkunar |
Af hverju að velja okkur?
Við forgangsraðum ánægju sjúklinga og tannheilsu. Sveigjanleg gervitennur okkar í tannlækningum endurspeglar skuldbindingu okkar um ágæti. Við skilum sérsniðnum gervitennum sem veita þægindi og áreiðanleika. Hafðu samband við okkur til að læra hvernig vörur okkar geta bætt bros þitt og tannlækningar.
Algengar spurningar
Fyrir fleiri hluti um einhliða tannplast í tannlækningum sem þú hefur kannski ekki vitað, hafðu samband við Shenzhen Best Dental Lab til að fá frekari upplýsingar í dag!




